肺に影が見つかったら、まずどうする?「正確な診断」の重要性
健康診断で「肺に影がある」と指摘された時、誰もが大きな不安を感じるものです。「これは悪いものなのか?」「すぐに手術が必要なのか?」「それとも経過観察で大丈夫なのか?」——こうした疑問に、できるだけ早く、そして正確に答えを得ることが何よりも大切です。
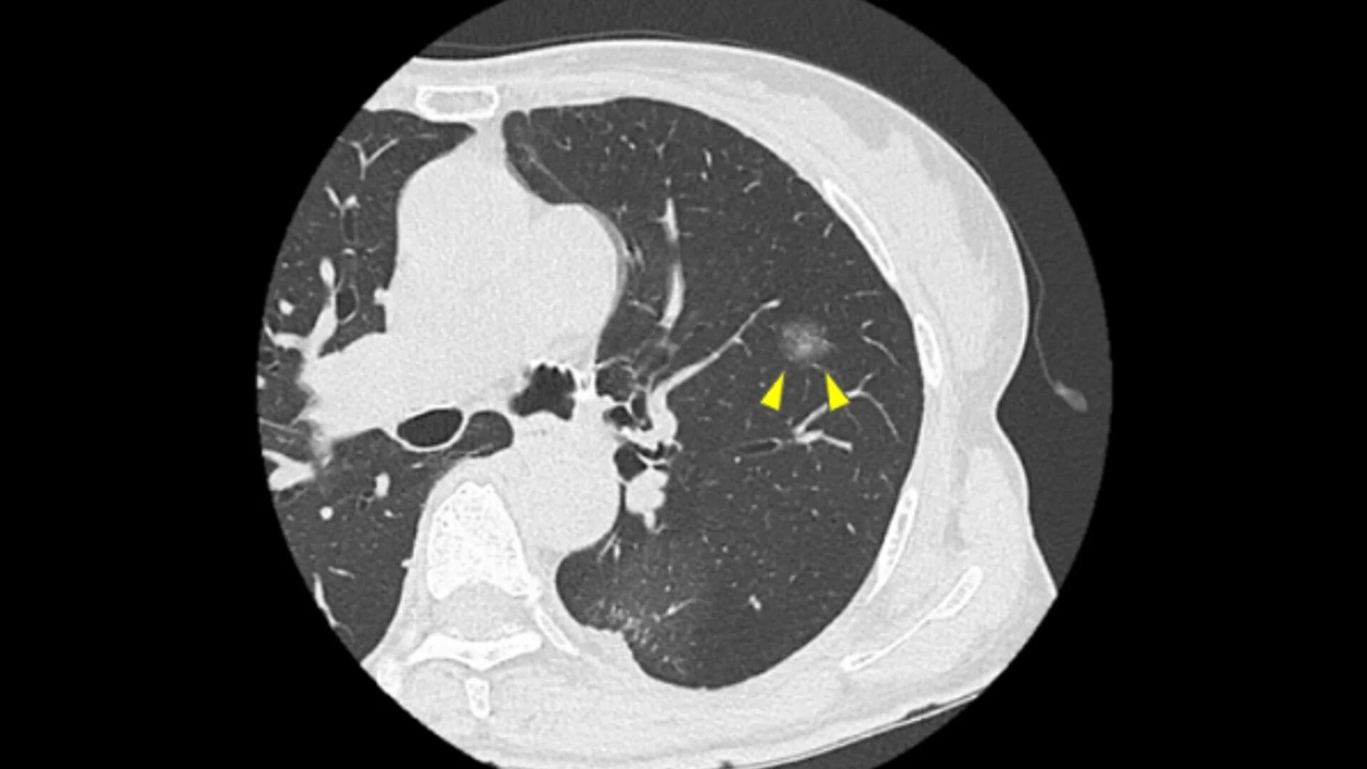
残念ながら、健診で肺に影が見つかっても、すぐに専門医にたどり着けず、治療の機会を逃してしまう患者さんが少なくありません。中には、肺炎と診断されて抗生剤治療を受けていたり、ただ経過観察を指示されているだけで、不安な日々を過ごしている方もいるといいます。
東京日本橋 早期肺がん日帰り手術クリニックでは、この「正確な診断」に特に力を入れています。受診された方のCT検査画像を、肺がん治療を専門とする呼吸器外科医を含む4名の専門医が迅速に確認し、「手術が必要な影なのか、経過観察で良い影なのか」を的確に見極めます。健診で要精密検査と言われた方は、ぜひ一度、専門医の意見を聞いてみることをおすすめします。不安を抱えたまま一人で悩まず、まずは専門家に相談することが、次の確実な一歩につながります。
院長からのメッセージ:患者さんの不安に寄り添う医療
東京日本橋 早期肺がん日帰り手術クリニックの浅越佑太郎院長は、麻酔科医として長年、手術室や集中治療室で多くの患者さんの命と向き合ってきました。特に国立がん研究センター中央病院での勤務経験が長く、肺がんを含むあらゆるがんの周術期管理に携わってきたそうです。
浅越院長は、がんを宣告された患者さんが抱える「不安」を誰よりも深く理解しています。そして、がん治療においては、確実性や安全性はもちろんのこと、「スピード感」が非常に重要であると強く実感しています。患者さんが不安な気持ちを抱えたまま何週間も待つことなく、できる限り早く元の安心した生活に戻れるように、という強い思いがクリニック開院の原動力となりました。

そこで、国立がん研究センター中央病院で共に働いた経験を持つ優秀な呼吸器外科医たちと協力し、麻酔科医が管理する「安全で痛みに配慮した肺がん手術」を日帰りで提供する専門クリニックを開設するに至ったのです。
「検診で肺に影が見つかって、どこに行けばいいかわからない」「すぐにでも肺がんの手術を受けたいのに、なかなか手術を受けられない」「他の先生の意見も聞いてみたい」——もしあなたがこのように感じているなら、まずはクリニックに相談してみてください。メールやLINEによる医師への無料相談も24時間受け付けているので、気軽に連絡を取ることができます。
東京日本橋 早期肺がん日帰り手術クリニックの大きな特徴
このクリニックが提供する新しい治療の選択肢には、患者さんにとって嬉しい特徴がたくさんあります。
1. 約1時間の早期肺がん日帰り手術
「手術」と聞くと、やはり体への負担や、術後の回復に時間がかかることを心配しますよね。しかし、早期肺がんの中には、わずか1時間程度の短時間で腫瘍の切除が完了するタイプがあるのです。このクリニックでは、肺がん治療を専門とする経験豊富な呼吸器外科医が執刀し、麻酔科医によるきめ細やかな全身麻酔管理を組み合わせることで、なんとその日のうちに自宅に帰ることが可能です。
例えば、朝から手術を受けた場合、麻酔からの回復時間を含めても午前中にはご自宅に帰れる可能性があるといいます。これは、従来の入院手術と比較して、身体的負担だけでなく、精神的な負担も大きく軽減されることを意味します。

がん治療において、安全性や確実性は言うまでもありませんが、「スピード感」も非常に大切です。「もしかして肺がんかもしれない」という不安を抱えたまま日常生活を送ることは、想像以上に大きなストレスになるものです。日帰り手術によって早期に社会復帰できることは、入院しているよりも早くリハビリが進み、心身ともに回復を早めるメリットもあります。術後も、何か心配なことがあればいつでも連絡できる診療体制が整っているので安心です。

2. 専門医4名体制で実現する「肺がんの早期発見」
肺がんによる死亡数を減らすことを最終目標に掲げるこのクリニックは、日帰り手術だけでなく、「早期発見」にも力を入れています。先にも述べたように、健診で肺に影が見つかっても、早期に手術までたどり着けない患者さんが非常に多いのが現状です。
肺に影が見つかった時に最も重要なのは、「それが手術が必要な肺がんらしい影なのか、それとも手術せずに経過観察で良いタイプの影なのか」を、できる限り早く、そして正確に見極めることです。そして、CT画像から手術の必要性を最終的に判断できるのは、やはり「肺がん手術を専門とする呼吸器外科医」です。しかし、多くの患者さんが、そのような専門医にたどり着くまでに長い時間を要しています。
肺に影が見つかった方にとって、治療方針が決まらないまま過ぎてゆく時間は、大きな不安につながります。このクリニックでは、肺がん治療を専門とする呼吸器外科医や麻酔科医を含む4名の専門医が迅速にCT画像を確認し、初診の段階から手術すべきかどうかの提案が可能です。もちろん、その上で経過観察が適切であると判断する場合もありますが、どれだけ小さくても肺に影がある場合、一度は呼吸器外科医に診てもらうことで、手術の機会を逃す可能性は低くなり、患者さんが抱える不安を軽減できるでしょう。

肺がんは、ゆっくりとではありますが、確実に進行する病気です。早期発見を次の確実な一歩へ繋げるためには、できるだけ早期に手術を受けることが望まれます。肺がんは日本人のがんによる死因の第1位ですが、その最大の理由は、発見時にはすでに手術が難しいケースが多いからです。しかし、早期に手術を行えば5年生存率が高いがんでもあります。だからこそ、肺がんの早期治療は非常に重要なのです。不安を抱えたまま何週間も待つ必要はありません。
3. がんの診断から手術日までを最短で
がんと診断されてから手術までの待機期間は、患者さんにとって精神的に非常につらく、長く感じるものです。このクリニックでは、手術枠をすべて肺がん手術に割り当てることで、総合病院のような長い手術待機期間を解消しています。
なんと、初診日に手術日を決定し、最短でその翌日、遅くともおおよそ1週間後には手術が可能だといいます。がんの手術は、早いに越したことはありません。この迅速な対応は、患者さんの精神的な負担を大きく軽減し、早期治療への道を開きます。
さらに、手術までに何度も通院する必要もありません。基本的に術前の来院は1回のみで、手術日を含めても通院2回で肺がん治療が完了するような体制が整えられています。遠方にお住まいの方や、やむを得ない理由で手術前のご来院が難しい場合は、手術日に初めて来院することも可能です(ただし、事前にCT画像や検査結果などが必要となります)。術後も、必要に応じて来院していただきますが、オンラインでの診療にも対応しており、患者さん一人ひとりの事情に合わせたきめ細やかな対応は、専門クリニックだからこそできる強みです。
4. 痛みに配慮した肺がん手術
かつての肺がん手術は、胸を大きく切開する「開胸手術」が主流で、術後の痛みが大きな負担となることがありました。しかし、現在では胸腔鏡を用いた低侵襲手術が一般的となり、体への負担は大幅に軽減されています。それでも、肺の手術は術後に痛みを感じやすい部位であるため、術後の疼痛管理は非常に重要です。
一般的に術後の痛みの管理は外科医が行うことが多いですが、このクリニックでは、すべて日本麻酔科学会認定の麻酔科専門医が担当します。麻酔科医はまさに「痛みのプロフェッショナル」。患者さん一人ひとりの状態に合わせて、よりきめ細やかな痛みのコントロールを行うことが可能です。術中から術後まで一貫して麻酔科専門医が疼痛管理を徹底することで、術後の痛みを可能な限り軽減し、患者さんが安心して回復に専念できる体制を整えています。

5. 信頼できる医師陣
手術を受ける上で、執刀医や医療チームへの信頼は欠かせません。このクリニックの外科医は、国立がん研究センター中央病院で共に手術を経験し、研鑽を積んできた医師が中心となって執刀します。麻酔科医は基本的に院長が担当し、高い専門性を持つチームで患者さんの治療にあたります。
また、病院で医師と話す際に緊張してしまう患者さんもいるかもしれませんが、このクリニックでは、どんな小さな疑問でも遠慮なく医師に尋ねてほしいと考えています。患者さんからの質問は大歓迎で、話をしっかりと聞き、納得されるまで誠心誠意答えてくれるでしょう。安心して、疑問や不安を解消できる環境が整っています。
6. がんの肺転移に対する日帰り手術
「がんが転移した」と聞くと、多くの方が「もう手術はできない」と諦めてしまうかもしれません。しかし、肺に転移したがん(転移性肺腫瘍)であっても、必ずしも手術ができないわけではありません。他臓器で発生したがん細胞が血流に乗って肺に到達し、そこで増殖したものを「転移性肺腫瘍」と呼びます。大腸がんや骨肉腫、軟部肉腫からの転移が多く見られます。
肺は全身の血液が最初に通過する臓器であるため、がん細胞が転移しやすい特性を持っています。しかし、条件を満たす症例では、外科的な完全切除によって生命予後の改善が期待できることが示されています。
このクリニックでは、主に早期肺がんの日帰り手術を行っていますが、転移性肺がんについても同様の術式で日帰り手術を受けることが可能です。手術時間は1時間以内、痛みに配慮した胸腔鏡下手術、そして麻酔科医による術後疼痛管理によって、「条件を満たす症例であれば、転移性肺がんでも日帰り手術での対応が可能」なのです。諦めずに、まずは相談してみる価値は十分にあります。

アクセス抜群!東京駅徒歩7分、日本橋駅直結
東京日本橋 早期肺がん日帰り手術クリニックは、JR東京駅八重洲口から徒歩7分、地下鉄日本橋駅A6・B5出口直結という、非常に便利な立地にあります。このアクセス性の良さは、関東圏にお住まいの方はもちろん、新幹線を利用すれば遠方の患者さんにとっても大きなメリットとなります。
何週間も手術を待ったり、長期入院することを考えれば、新幹線で東京駅まで来ていただければ、早期に手術を受けることが可能です。通院の負担も少なく、迅速な治療を望む方にとって、この立地は大きな安心材料となるでしょう。

あなたの不安を希望に変えるために
肺に影が見つかって不安を抱えているあなたへ。早期肺がんの治療は、待機期間が長引くほど、心身への負担が大きくなります。しかし、東京日本橋 早期肺がん日帰り手術クリニックでは、専門医による迅速な診断、最短での手術、そして痛みに配慮した日帰り手術という、患者さんの視点に立った新しい治療の選択肢を提供しています。
「早期発見を次の確実な一歩へ」——このクリニックは、その思いを胸に、患者さんの不安を希望に変えるお手伝いをしてくれるはずです。一人で悩まず、まずは相談してみることから始めてみませんか?
詳しい情報やご相談は、以下のクリニックのウェブサイトをご覧ください。
クリニック概要
-
クリニック名: 東京日本橋 早期肺がん日帰り手術クリニック
-
院長: 浅越 佑太郎
-
住所: 〒103-0027 東京都中央区日本橋2-1-10 柳屋ビルディングB2階
-
アクセス: JR東京駅八重洲口から徒歩7分、地下鉄日本橋駅A6.B5出口直結
-
ホームページ: https://tokyo-haigan.net/
